ホワイトニング
最新のホワイトニング治療をご紹介いたします。
ホームホワイトニング
専用のホワイトニングトレーをお作りし、ご自宅でホワイトニング剤を入れたトレーを歯に数時間装着することで、歯を白くしていく方法です。 低濃度の薬剤を使い、長時間かけてじっくりと白くしていきます。(通常約 2 週間~ 1 ヶ月が必要です)
メリット
- 歯科医院での拘束時間が短くて済みます。
- ホームホワイトニングでは、毎日好きな時間に自分のペースで行う事ができます。
- 比較的、白さが長持ちします。
デメリット
- 効果が出るまでにある程度の時間がかかります。( 2 週間~ 1 ヶ月)
- 継続的な使用が必要なため、早く歯を白くしたい方、毎日続けることが困難な方には難しい方法になります。
- 歯列不正の状態によっては困難な場合があります。
- 長期使用などにより、痛み(知覚過敏)を感じることがあります。
ホワイトニングを行う前に・・・
ホワイトニング前にクリーニングが必要な場合があります。
ホワイトニングを効果的に行うために、術前に歯石の除去や、クリーニングが必要な場合があります。
まずは、カウンセリングを受けていただきご相談下さい。
陶器のような均一な白さにすることは出来ません。
ホワイトニングでは、歯の自然な状態を維持しながら漂泊するため、陶器のお皿のような均一な白さにすることはできません。
ホワイトニングの効果が得られにくい場合もあります。
①先天的な着色歯、重度のテトラサイクリン(乳幼児期における抗生物質の過剰摂取による変色歯)
②神経を除いた歯。(ウォーキングブリーチで漂白することが可能です。
③元の歯の色がまだらになっていたり、斑点状に白い部分がある歯は均一に白くなりません。
④詰め物などの色は変わりません。(ホワイトニングした後の詰め直しをおすすめします。)
個人差がありますが、一時的な痛みなどが生じることがあります。
個人差がありますが、知覚過敏が生じる場合がありますが、一過性のため 1 日~数日で治ります。
オフィスホワイトニングの術前、術後には痛み止めを服用していただきます。
ホワイトニング後は、酸性の食品や着色性の食品、喫煙などは控えて頂く必要があります。
酸性の飲食物・・・柑橘系飲食物、梅干し、お酢、炭酸飲料、スポーツドリンクなど。
着色性飲食物・・・コーヒー、紅茶、お茶類、コーラ、赤ワイン、ベリー類、カレー、など色素の濃い飲食物、タバコなど。
ホワイトニング後は定期的なチェックを受けて下さい。
ホワイトニングの効果は永久ではありません。個人差がありますが、後戻りがあります。
より長く効果を維持して頂くために、定期的なチェックとクリーニングを受けていただくことをお勧めします。
また、再度ホワイトニングすることも可能ですのでご相談下さい。
妊娠、授乳中の方にはお勧めいたしません。
ホワイトニングの薬液は身体には安全な薬液ですが、妊娠、授乳中はお控いただくこともあります。
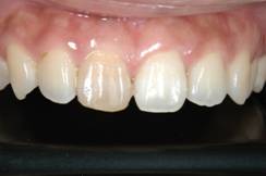
ウォーキングブリーチ
ウォーキングブリーチとは神経を除いた歯に適応できる漂白方法で、歯の中に漂白剤( 30 %過酸化水素水と過ホウ酸ナトリウムの混合物 ) を入れて、歯の中から象牙質の着色を落とし、白くする方法です。
| Before | After |
|---|---|
![]() | ![]() |
メリット
- 神経が死んでしまった歯に対しては通常のホワイトニングではあまり効果がないのですが、このウォーキングブリーチを行えば確実に歯を白くすることが出来ます。
デメリット
- 歯に穴を開けなくてはならないことや、歯の中にガスが溜まって歯が割れやすくなってしまうことがあります。
歯肉ピーリング
歯肉ピーリングとは黒ずんだ歯肉をきれいなピンクの歯肉に戻す方法です。
歯肉の着色の原因は金属の破片やタバコによるものがほとんどですが、中には自然着色のものもあります。
歯肉に薬品を塗布し、 2 ~ 3 日でメラニン色素を含んだ歯肉の表層が脱落し、1~2週間で新しい表層が再生され、きれいな歯肉に生まれ変わります。
着色の濃さなどによりますが、通常は 2 ~ 3 回の来院で終了します。
![]() |
![]() |
![]() |
![]() |
| 術前 | 塗布直後 | 塗布30分後 | 術後 |
歯肉ピーリングの症例
| 術前 | 塗布後 | 術後 |
|---|---|---|
![]() | ![]() | ![]() |
メリット
- 治療後の痛みはほとんどありません。(少しだけヒリヒリする程度です。)
- 比較的、簡単な処置できれいな歯肉に戻すことができます。
- 禁煙された方や、ホワイトニングで歯を白くされた方におすすめです。
デメリット
- 保険外治療のため、料金がかかります。
- 喫煙などによって、再着色の可能性がありますので、お控いただく必要があります。
ホワイトニング費用
ホームブリーチ 片顎 10,000 円
上下顎 20,000 円 専用のトレーを使用して歯牙漂白を行います。
ウ ォーキングブリーチ 1 歯 3,000 円
セラミック(金合金フレーム)。審美的で透明感があります。 歯
肉ピーリング 片顎 15,000 円
両顎 30,000 円 黒ずんだ歯肉をピンク色に戻す治療です。
ラミネートべニア 70,000円 最小限の侵襲で審美性を回復することができます。
ホワイトニングリスク:後戻り、知覚過敏になる場合があります。
ラミネートベニアリスク:脱離、破折の可能性があります。
ウォーキングブリーチリスク:後戻り、薬液による熱傷の可能性があります。
ガムピーリングリスク:歯茎がとても敏感な状態になる場合がある



ホワイトニングとは、ホワイトニング剤を歯の表面に塗布し、エナメル質内に入り込んだ着色物質を分解し、歯本来の色をより白く明るくする方法です。







