歯が出てこないことを主訴に西院された患者さんです

左上の前歯が出てきていません。

レントゲンで見ると歯が埋まってしまっています、自然にこの前歯が出てくることはありません
矯正の装置を付けて埋まっている歯を挺出させてきています。だいぶ出てきました。
治療完了時です。
術前
術後
患者さんには大変喜んでいただきました

ウニクス秩父歯科で治療を受けられた患者様の症例集です。
2月の11日12日で、日本口腔インプラント学会 第36回 関東甲信越大会が開催されました。私と歯科衛生士3名で出席してきました。

私は、「高齢者への全顎インプラント治療~87歳からの5年経過~」という演題で発表を行ないました。

今回のの発表の反響がよかったため、今度2017年8月に開催される、第8回日本口腔インプラント学会関東甲信越支部学術シンポジウムのシンポジストに選出されました。そこでシンポジストとして、発表する予定です。定期的に学会等で発表することで、医療技術の維持に取り組んでおります。
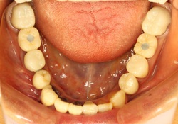
患者さんは物が噛めないことを理由に来院しました。
インプラントを希望していましたが、治療を行うときに緊張して血圧が上がってしまい、それが原因でいままでインプラント治療ができませんでした。
初診時
上顎 下顎
上下顎とも歯がないため、噛めない状態でした。
当医院では、私が歯科麻酔認定医であるため静脈鎮静(点滴をからリラックスするお薬を投与し眠っている状態で処置を行う)を行い
患者さんにリラックスする麻酔をかけることができるため、インプラントの処置が行えます。
血圧
向かって左が緊張で血圧が上がっている状態です血圧が200ぐらいになってしまいます、右は静脈鎮静でリラックスしている状態の血圧です。120程度に落ち着いています
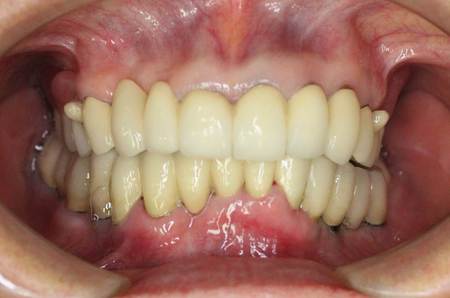
術後
上顎 下顎
(歯の上の黒っぽいところはインプラントのネジ穴です、当医院はメンテナンス性の良いネジ方式のインプラントを用いております。)
合計9本のインプラントを埋入しました。
患者さんは、何でも食べられるようになって大変喜んでいました。
当医院には、歯科恐怖症や、インプラント治療が他院で断られた患者さんなどが来院し、静脈鎮静などで治療を行い噛めるようになっていただいております。
当医院では、麻酔科である私が患者さんの全身状態の管理を行えるため、高齢者や、全身的な疾患(高血圧、糖尿病等)を持っている患者さんに対してもインプラント治療を行うことが可能です。
その1例を紹介したいと思います。
患者さんは、老後においしくご飯が食べたいことを主訴に来院された87歳の患者さんです。
患者さんは、インプラント治療にとても興味があり、入れ歯ではなくインプラントにて、治療を行っていくこととしました。
初診時
正面 上あご
下あご
上顎は、すべての歯がぐらぐらになって言いましたので、抜歯を行い、インプラントを6本埋入しました
下顎は、歯のないところだけにインプラントを4本埋入し、倒れている歯(向かって右側)を矯正で正常な位置に戻しました
向かって左側は治療の必要がなかったため右側のみ治療しています。
治療前後の比較です
術前 術後
この患者さんは、お体の全身状態がとてもよく、複数本のインプラント治療を行うことが可能であると判断したためこのような全顎的な治療を行いました、治療中は、全身状態をしっかりと管理し、安全に治療を行いました。
患者さんは、インプラント治療にとても喜んでおり、その後も「金歯を白くしたい」、「倒れている歯を矯正で戻したい」と、次々にお口の中を改善することを希望しました。
結果、全顎的な治療を行うことができました。
インプラント治療は、歯のないところを補う方法としてはとても優れた治療法ですが、費用がかかってしまうことは、欠点の一つです
そのため、多数歯(たくさんの歯)がなくなってしまい、インプラント治療で歯を入れようと思うと何本ものインプラントが必要になり、費用がかかってしまいます。
そこで、インプラントの埋入本数を少なくできるマグネット義歯を紹介したいと思います。
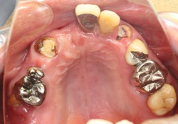
初診時
お口の中全体的に、虫歯と歯周病で歯がダメになってしまっています。
上あごは、ほとんどすべての歯がダメになってしまっていました。
患者さんの希望は、違和感が少なく、しっかりと噛めて、外れたり動いたりしない歯を入れてほしいとのことでした。
全体をインプラントで治療すると費用がかなりかかってしまうため、患者さんと相談し、インプラントを利用した義歯を作成していくこととしました。
治療後
下顎はインプラントと自分の歯を利用したコーヌスという義歯を作成しました。
上あごは、インプラントを4本埋入して、違和感の少ない上あごが抜いてある義歯を作成しました。
術前と術後の状態です
患者さんは、見た目もきれいになり、なんでも咬め違和感が少ないと大変よろこんでいました。
9月20日から25日までドイツのハンブルグで行われた、ヨーロッパ疼痛学会で、発表をしてきました。
私は、現在大学の麻酔科に所属しており、そこの教授と私と後輩とで行っている研究を発表しに行ってきました。
ドイツのハンブルグは、ドイツで2番目に大きい都市です、街並みがとてもきれいで、近くにはリューベックという世界遺産に登録されている町もあります。
ハンブルグとリューベックの街並み
ハンブルグ中央駅
学会会場はとても広く世界各国の麻酔科医が来ていました
私もポスターを作成して発表しました、ちなみに内容は、全身麻酔科で鎮痛薬を投与した際の、脳波の研究です
発表後は、ドイツ名物のビールとソーセージを食べに行きました
研究した内容を発表することで、新しい発見があったりしてとても勉強になりました。
昨日、装置が見えない審美的な矯正の勉強会に出席してきました。アクアシステムという方法です。
アクアシステムは、"アクアフレーム"と呼ばれるマウスピース型の透明な装置を付け替えていくという、全く新しい矯正歯科治療の方法です。
従来の矯正歯科治療はブラケットとワイヤーを使って歯を移動させていました。アクアシステムでは透明のフレームを歯列にかぶせて歯の移動を行います。トレー1枚につき0.2ミリ~0.5ミリずつ動かす仕組みで、何枚ものトレーを使って少しずつ歯を移動させていきます。
アクアフレームは透明で目立ちにくく、さらに取り外しが可能であるため、これまで「歯並びを治したいけれど、歯に金具をつけるのはちょっと...」と矯正歯科治療に踏み出せなかった方にも安心して始めていただける矯正歯科治療法です。
http://www.zenkoku-aquasystem.com
適応がありますので詳しくはご相談ください。
前回お話した、インプラントの材料であるチタンの劣化ですが、現在市場に出ているインプラントは、ほぼ劣化してしまっているということになります。
紫外線照射
この劣化したインプラントに特殊な紫外線を照射することによって、加工したばかりの状態に戻ることができるという研究をUCLA米カリフォルニア大ロサンゼルス校歯学部の小川隆広准教授(修復・インプラント学)らのチームが発見しました。
新聞にも掲載されました
これにより今までよりも約2倍骨との結合が良くなり、インプラントがより強固に骨とくっつくようになりました。
顕微鏡下での骨とインプラントの結合
当医院でもこのシステムを導入し、インプラント治療を行っています。
医療の世界では、その治療や技術が正しく発展するように、それぞれの分野に国が認めた学会がぞんざいします。公益社団法人日本口腔インプラント学会もそのうちの一つで、ほかにも歯周病学会や、補綴(入れ歯、かぶせ物)学会など、医科の方では、循環器学会や、心臓外科学会などがあります。
先週の2月12日、13日で日本口腔インプラント学会がパシフィコ横浜で開催されました。
私と、理事長の安田先生とで出席し、インプラントについて発表してきました。
発表しているところ
私は初日に発表したのですが、大きな会場で、200人ぐらいの歯科医師が集まっていました。
今後もインプラントについて、研究を重ねていきたい思っています。
2009年5月の読売新聞にも掲載されたのですが、米カリフォルニア大ロサンゼルス校(UCLA)の小川隆広准教授が開発した、紫外線を用いたインプラント治療というものがあります。
インプラント体に特殊な紫外線を照射することによりインプラントと骨との結合が早く強力になるというものです。
私も、この技術が日本に入ってきた第1回の勉強会に1月の23日に出席してきました。
インプラントは、日々進化しており、しっかりと世界に対しアンテナをはって、勉強していないとすぐに遅れてしまいます。今後この技術について、もっと詳しく勉強をし、より良いインプラント治療が患者さんに行えるようにしていきたいと思っています。
前歯の見た目が気になって来院された患者さんです。
今回は、セラミックの歯を使用してきれいにかぶせなおしを行いました。
術前 術後
![]()
セラミックは、長期的(20年)に使用しても、変色が起こらず、きれいなままなので前歯の治療にとても向いています。
9月17日~19日まで北海道の札幌で、日本口腔インプラント学会がありました。日本で一番大きなインプラントの大会です。世界各国からインプラントの研究者やドクターが集まり、症例の検討や、ディスカッションを行ったり、さまざまなメーカーが最新医療機器の紹介をします。
学会で大きく取り上げられてたのは、longevity(ロンジェビティ)です。longevityとは患者さんのインプラントがいかに長く安定した状態でいるかということです。
現在インプラントが大変普及していますが、せっかく入れたインプラントがすぐにダメになってしまうのでは意味がありません。メンテナンスのしやすさや、患者さんの加齢によるお口の中の変化にいかに対応できるかといったところまで考えてインプラント治療を行わなければいけません。
そのためには、患者さんのお口の中全体の状態の把握や、対応しやすいインプラントの選択(インプラントは現在たくさんのメーカーから様々な種類のインプラントがでております)が重要になります。
インプラント学会への参加は、世界の最先端の技術や知識を学ぶことができ、とても有意義でした。
インプラントは、治療のバリエーションがとても多く、様々な患者さんの希望にそった治療が行えます。
インプラントと特殊な入れ歯(コーヌス)を組み合わせて、患者さんがとても満足した例を紹介します。
下の入れ歯が合わなくて、ものが噛めないことを気にして来院された患者さんです。
正面
下あご
下の奥歯がなく前歯の歯並びもよくありません。
今回は、インプラントとコーヌス義歯という特殊な義歯を組み合わせて治療することにしました。
奥にインプラントを2本入れて、前歯は形を整えて土台にします。
下あご
そこにコーヌス義歯という特殊な義歯を入れます。
コーヌス義歯(全部白い歯で作ることもできます)
義歯を入れたところ
従来の義歯とは違い、違和感もなくなく動いたりもしないため、なんでも食べられます。
向かって右側が治療後です。
![]()
術前 術後
このようにインプラント治療には様々な方法があり、患者さんの希望に応じて治療を行うことができます。
NPO法人埼玉インプラント研究会のボランティア事業としてインプラントの無料相談会を9月5日(日)に行いました。
インプラントの概要や、患者さんの悩みなどについて専門医が相談を受けるというものです。当日は、様々なお悩みやご相談がありとても充実していました。少しでも患者さんのためになっていれば良いと思っております。
現在インプラントがとても普及していますが、きちんとした治療や説明が不足していると思います。今後もこのような行事を行い
安全で安心なインプラント治療が普及すればよいと思っております。
![]()
8月7日~8月9日まで韓国で行われたピエゾサージェリーという新しいインプラントの研修に行ってきました。現在の日本の歯科治療は、海外に比べ約5年ほどの遅れがあり、インプラントなどの最新技術は、海外に行かなくては勉強できません。
今回、私が学んできたのは、より安全にインプラントの手術が行えるピエゾという技術についてです。
ピエゾとは、簡単に言うと超音波発生装置のことで、その微細な振動を利用してインプラントの手術を行うといったものです。
今までは、インプラントの手術は、ドリルを使って骨に穴をあけていたのですが、最新のピエゾという技術では、超音波の振動を使ってインプラントを埋入するというものです。
この技術を使うことにより、通常の手術はもちろん、サイナスリフトという特別な手術も、とても安全に行うことができるようになりました。
![]()
前回までは顎関節の構造と動きについて説明しました。今回は、なぜあごの関節に痛みが出たり、口が飽きずらくなったりするのか(顎関節症の原因)を説明したいと思います。
顎関節症の原因は、5種類に分類されています。
1、口を開け閉めするのに使われている筋肉の障害
2、あごの関節の周りにある靭帯の障害
3、あごの関節に付属している、緩衝材(顎関節の構造で説明している)の障害
4、あごの関節(骨)の変形による障害
5、その他
顎関節症の約半数以上が、3、の関節の緩衝材の障害です。緩衝材の構造は、顎関節症1、2を参考にしてください。
通常、口を開け閉めすると、緩衝材は、その動きに伴ってスムーズに移動します。しかし何かしらの原因で下の図のように、この緩衝材の動きがスムーズで無くなったり、途中で動かなくなってしまったり、関節からずれた位置に行ってしまうことで、あごがカクカクなったり、口が開けずらい、あごが痛いなどの症状が出ているのです。
あごの関節がずれてしまっている図、(口を閉じている状態)
口をあけようとしても緩衝材に引っかかってしまい開けられなかったり、さらに開けると「
カク!」と音が鳴って口が開きます。
これを繰り返していると緩衝材に炎症が起こって、あごが痛くなってしまいます。
これが顎関節症の最も多い原因の1つです。
次回は治療について説明します。
患者さんは、前歯の見た目を気にされて来院されました。
前歯に隙間があり、かぶせ物もしっかりフィットしていない状態でした。
前歯は、メタルボンドというセラミックのかぶせ物に変え、全体的にみて自然な感じになるようにしました。
術前 術後
![]()
前回はあごの関節の構造について説明しましたが、今回は、顎関節(あごの関節)の動き方について説明します。
顎関節の動き方で特徴的なのは、手や足の関節と違い、お口を大きく開けた時に、関節が外れる(完全にではないが)というところです。
下の図のようにお口を少し開けた時は、くぼみの中に関節が収まっているのですが、大きく開けた時に、くぼみの前の方に関節がすれるのです。
注目してもらいたいのは、このようにお口を大きくあくとあごの関節はくぼみから一度外れ前の方に出てくるのです。これがあごの関節の特徴的な動き方です。
これであごの関節の構造、動き方が分かったと思います。
次回は、顎関節症(あごがカクカクなったり、口が開けずらくなる)の原因についてご説明します。
顎関節症について説明したいと思います。
あごがカクカクなる、あごが痛い、口が開けづらいといったような症状がある方はよくいらっしゃいます。
これらの症状がある方は、顎関節症と言って、あごの関節に異常があるということなのです。
顎関節症は、歯医者の世界でも色々な考え方がある疾患ですが、今回は、皆さんにもわかりやすいように、顎関節の構造や、顎関節症の原因を説明します。
顎関節の構造
あごの関節は、手や足の関節と同様に、上あごの骨のくぼんでいる部分に、下あごの骨のでっぱている部分が入り込んでできています。
骨の間には骨同士がこすれるのを防ぎスムーズに動くように緩衝材があります。
かなり簡略化していますが、これがあごの関節の基本的な構造です。
次回は、あごの骨の動き方について説明します。
今日、患者さんの1人の歯ぐきの状態を検査しました、治療前の状態と比べて、明らかにきれいな状態になっていました。もちろん虫歯の治療をしていることもあるのですが、患者さんが努力していた日々の歯磨きによる効果が大きいと思います。
術前
![]()
![]()
術後
![]()
![]()
同じ患者さんの口の中とは思えないぐらいきれいになりました。歯周病の治療にとって日々の歯磨きはとても重要だと再確認いたしました。
インプラントを行う上で1番患者さんの気になるものは、やはり費用ではないかと思います。インプラント治療は受けたいけれど、費用が・・・。という患者さんはたくさんいらっしゃいます。
では、インプラント治療は、なぜこんなに費用がかかるのでしょうか?
それは単純にインプラント自体の部品代や材料費がとても高価だからです。
インプラントは、いかに早く、しっかりと骨に付き、生体にとって安全であるか、さらにずっと使っていくものですからメンテナンスのしやすさが重要になります。
これらの条件をしっかりとカバーしているものは、やはり全世界的にシェアされているもの(全世界的に使用率が高いもの)になります、そういったインプラントは、安心な代わりに値段が高いのです。
現在インプラントは、、たくさんの企業から発売され、さまざまな種類がありますが、自分の身体に入るものですので、世界的に使われている安全なものを選んだほうがよいでしょう。さらにあまり出回っていないインプラントだと、メンテナンスの際に部品が合わないとか、部品が手に入らないといったトラブルも起こる可能性があります。
当院に来院された患者さんでも、他院にてインプラント治療をしており、口の中に3種類のインプラントが埋入されていました。メンテナンスの際に、それぞれの部品を取り寄せたりして、とても苦労しました。
現在インプラントは、さまざまな医院で行われており、値段も安いものが出回っていますが、インプラントの専門医のいる医院で安心なインプラント治療を行うことが、良いと思います。
前回までに説明した方法で歯周病を治療していきます。治療期間についてですが、歯周病の治療のゴールは、理想的には全体的に歯周組織(歯ぐきや歯の周りの骨)の状態が改善したと判断するまでですが、患者さんと相談して、完璧な状態ではないが、定期的に健診を行うことで経過を見ていくという方法(SPT)をとることもあります。そのため治療期間が人それぞれ違ってきます。もちろん完璧に歯周病が改善した患者さんでも1年に1度は定期健診に来る必要があります。
治療後のは、腫れていた歯ぐきが引き締まり、歯ぐきからの出血がおさまります。
歯周病は慢性的な疾患のため症状が出ずに進行していきます、重度になってしまうと、大量に歯が喪失してしまいます。その進行が止まるということに歯周病を治療することの最大の意味があります(自分の歯を残すということ)。
数回にわたり歯周病について説明してきました。歯がなくなれば食べ物が噛めずにみじめな思いをし、治療にはたくさんの時間と費用がかかります。みなさんも自分の歯でいつまでもおいしく食事ができるように、歯周病を予防しましょう。
追加
・治療に伴う症状
治療をすると一次的な知覚過敏や、歯ぐきが引き締まるため、歯が伸びたように感じる場合があります。
前回歯周病の治療(初期治療)について説明しましたが、重度な歯周病の患者さんは、前回までに説明したような方法では、歯周病菌が除去しきれない場合があります。その場合歯周外科という治療を行っていくようになります。しかしこの治療は患者さんによっては、「やりたくない」という方もいますので、症状が安定していれば定期的に経過を見ていくという治療(SPT)を行っていく場合もあるので、患者さんと相談してきめていきます。
・歯周外科
前期説明したような初期治療では、歯ぐきの深い位置の汚れを除去していますが、これでも取りきれないような汚れに対して歯ぐきを開いて汚れを取ったり、歯周病でなくなってしまった骨を再生させたりするために行っていく治療です。
FOP
歯ぐきを開いて、深いところにある汚れ(歯周病菌)を除去します。
エムドゲイン

歯周病で骨がなくなってしまったところにエムドゲインというたんぱく質を塗布し、骨を再生させます。
このような歯周外科を行い、完全に歯周病菌を除去し歯ブラシを行いやすく、歯周病に再感染しにくい環境を作っていきます。
前にも述べたように歯周外科はとても重要な治療ですが、あくまで患者さんとの相談のうえ行っていきます。
次回は歯周病の治療後の管理と治療に伴う偶発症について説明します
それでは、歯周病の治療について説明します。
前回お話ししたように、歯周病の検査を行うと、歯周病は、歯肉炎→軽度歯周炎→中等度歯周炎→重度歯周炎のだいたい4つの段階に分かれます。(もちろんこれは便宜的に分けているだけです)
歯周病の段階によって治療が異なるためこのことは、覚えておいてください。
・歯周病の治療
歯周病の治療を一言で言うと歯周病は歯についた細菌によっておこるため、治療はその細菌を除去していくということです。
上記したような歯周病のレベルの違いによって除去の仕方が異なるということです。
1、初期治療
ブラッシング(歯磨き)のトレーニングをしたり、自分では取り除けない汚れを専用の器具を使用し除去します。
歯磨きのトレーニング
日々の汚れをしっかりと除去できるようにブラッシングのトレーニングを行います。
専用の器具を使用しての汚れ取り
歯肉の上の見えている汚れを除去します
歯肉炎や軽度の歯周病の患者さんは、これで治療はおしまいです。あとは、定期的な健診で状態を管理していくことになります。
中等度や重度の患者さんは、これだけでは汚れが取りきれないためさらに治療が必要となります。
歯ぐきの下の深い場所の汚れ取り
歯ぐきの奥の汚れを取ります。
この治療までを初期治療といい、これで汚れを取り切れれば、治療はおしまいになり定期的な健診となります。
さらに汚れが残ってしまうような重度な歯周病の患者さんは、この後さらに歯周外科という治療に進むか、症状が安定している場合は、経過を見ていくようになる場合もあります。患者さんの要望もふまえて相談して決めていくようになります。
次回は、歯周外科について説明します。
今までは歯周病の原因や、歯周病を進行させる因子について書いてきましたが、では、歯周病になってしまって場合どのように治療していくのでしょう。
まず歯周病かどうか判断する検査について書いていきます。
歯周病を診断する検査
1、口腔内写真
患者さんの、お口の中の状態を把握します。
2、レントゲン写真
全体的な、骨の状態、歯の状態を検査します
3、歯周基本検査
専用の器具を使用して歯ぐきの状態を把握します。
歯ぐきからの出血や、歯の揺れなども検査します。
4、その他
状況に応じて、細菌数を調べる検査や、噛み合わせなども検査します。
これらの項目を総合して判断し、歯周病の状態と治療を決めていきます。
次回は、歯周病の治療について説明します。
前にも説明したように、歯周病の原因は、歯周病菌という細菌です。
しかし、歯周病の進行には、個人差があり重度の歯周病に進行している人もいれば、あまり歯周病のケアをしていないのに進行していない人もいます。なぜでしょう?
それは、歯周病には、進行を早める因子(原因)があり、それによって歯周病の状態に差が出ているのです。
・喫煙
喫煙をしていると血管が収縮し、血流が悪くなります、それによって、歯ぐきへの栄養供給がうまく行えなかったり、老廃物の除去が行いずらくなり歯周病が進行しやすくなります。
・咬合性外傷(不正な噛みあわせ)
噛み合わせが悪かったり、歯ぎしりなどをしている人は歯や歯を支えている周辺の組織に余計な負担がかかり、歯周病が進行しやすくなります。
・不適合なかぶせ物
かぶせ物のふちがしっかりと会っていないと、そこに汚れがたまりやすくなり、歯周病が進行しやすくなります。
・歯列不正
歯並びが悪いと、ブラッシングがとても難しくなり、歯が重なってしまっているところなどに磨き残しが出てしまいます。
・免疫の低下
その他、ストレスや糖尿病、加齢などで免疫力が低下すると歯周病が進行します。実はこの免疫が歯周病にとってかなり重要な要因なのです。
次回は、歯周病の検査と治療について説明します。
インプラントのさらなるメリットについて説明します。
インプラントができるまでは、歯がなくなると隣の歯に負担を求めて歯がなくなったところを補っていました。
たとえば、ブリッジは、まず隣の歯を削らなければいけませんし、さらに義歯もブリッジも3本分の歯の力を2本で負担するため、隣の歯は、かなりの負担がかかることになってしまいます。そうなると、隣の歯の寿命が短くなってしまい欠損が広がっていってしまいます。
インプラントは、周りの歯に迷惑をかけずに、治療ができるため、欠損の拡大を抑えることができます。
もちろんインプラントもパーフェクトな治療法ではありませんが、インプラントができてから、歯科の治療は劇的に変化したといってもよいでしょう。
インプラントは、何らかの理由で歯がなくなってしまった所に歯を作る方法のうちの一つです。
現在、歯科では、歯がなくなったところを補う方法としてブリッジ、入れ歯、インプラントの3種類があります。
・ブリッジ
ブリッジ は歯のなくなったところの隣の歯を削り、つながったかぶせ物をかぶせる方法です。
この治療の利点は、取り外し式のものではないため、違和感が少なく、比較的噛み心地も良いところです。
欠点は、隣の歯を削らなくてはいけないところと支えになっている歯に負担が大きくかかってしまうところです。きれいな歯でも削らないといけないのがこの治療の最大の欠点といってもよいでしょう。
・入れ歯
これは歯ぐきを支えにする取り外し式の入れ歯を入れる治療です。
利点は、隣の歯を大きく削らなくてもよいところです。
欠点は、取り外し式で、取り扱いが面倒なところと違和感が強いところ、さらに噛む力は、ブリッジやインプラントに比べ2割ほどでしか噛めません。
・インプラント
歯がなくなったところに人工の根っこ(人工歯根)を入れてそこに歯を作る方法です。
利点は、違和感も少なく、噛み心地もよいです、さらに隣の歯を削る必要がありません。
欠点は、保険がきかずに費用がかかるところです。
インプラントとはこのように歯のなくなったところを補う方法の一つです、さらに詳しい説明は次回行います。
では歯周病になると、どのような症状が出るのでしょうか、
まず、歯周病その1で書いたように歯周病は、症状がないまま進行してしまう病気です。
そのため、患者さん自ら症状を自覚した時には、かなり進行してしまっていることが多いのです。
本人が気付かない間に進行してしまうのです。
歯周病の進行(歯はあごの骨に埋まっており、あごの骨が歯を支えています。歯周病は症状がないまま歯を支えている骨が溶けてしまう病気です)
歯周病が進行してくると次のような症状が出ますこれらの症状が出た時には歯周病はかなり進行している可能性があります。
歯周病の症状
・歯ぐきがはれる
・歯ぐきから出血する
・歯ぐきがむずがゆい
・口臭がある
・歯がぐらぐらする(揺れてきた)
・歯ぐきから膿がでる(黄色っぽいもの)
・かたいものが食べずらい
などが代表的な症状です。
最終的には、歯を支えている骨がすべて吸収してしまい、歯が抜けてしまいます。
歯周病は、日本人の歯が抜ける原因の約50%を占めており虫歯よりも多い確率で、歯周病で歯がなくなっているのです。
日本人の歯の喪失原因
一度歯周病でなくなってしまった骨を元に戻すことはほぼ不可能です。歯がなくなれば、とても不便だし、費用もかかります、進行する前に早期治療を行いましょう。
次回は、歯周病の進行を早める因子について説明します。
今回から、何回かに分けて歯周病について詳しく説明していきます。
まず口の中には、たくさんの細菌がいます。その中に、歯周病の原因菌と虫歯の原因菌がいます。
歯についた細菌を拡大した図
これらの細菌がさまざまな理由で増殖すると、歯周病や虫歯になってしまいます。
虫歯は、皆さん知っているように、歯がとけてしまい。歯に穴があいたり、痛みが出てしまう病気です。
虫歯
歯周病は、歯ではなく歯を支えている周りの骨が溶かされたり、歯ぐきが腫れてしまったりする病気です。歯周病は、虫歯とは違い、ほとんどの場合、痛みなどの症状がないままに進行してしまいます。そのため自分では、歯周病になっていることに気がつきにくい病気なのです。
歯周病
このように歯周病の原因はお口の中の歯周病菌という細菌なのです。歯周病菌が増殖して活発に活動していると歯周病が進行してしまいます。
ではどのように歯周病菌が増殖するのでしょうか?
歯周病が進行する原因はいくつかあるのですが(後々説明します)一番の原因は、歯についた汚れ(食べカス)です、これを栄養源にして歯周病菌は増殖していくのです。
食事をすると必ず歯には食べカスがつきます。毎日歯磨きをしていない人はもちろんですが、毎日歯磨きをしている人も、きちんとした磨き方をしていなければ、磨き残しができてしまい歯周病は進行してしまします。
きちんとしたブラッシングをすることが
次回は、歯周病になるとどのような症状が出てきてしまうのか、を説明します。
現在日本でもインプラント治療がすっかり定着したくさんの患者さんがインプラントを使用しておいしく食事を食べています。どこの歯科医院でもインプラント治療が行われています。しかし、インプラント治療が広まるに従い、インプラントによる事故も増えてきています。インプラント治療は、本来きちんとインプラントについて勉強しトレーニングを積んでいる歯科医師でないと、行えない治療です。
では、患者さんは、どのようにして、インプラントのトレーニングをしている歯科医師を見分けたらよいのでしょうか?
それは、その歯科医院にインプラントの専門医がいるかを調べればよいのです。
専門医とは、日本口腔インプラント学会がインプラントについて、十分な知識と、実績がある歯科医師に試験を行い、合格すると専門医として認められるものです。
埼玉県内でで現在30人弱しか持っている歯科医師はいません。
専門医のいる歯科医院であれば、安心してインプラントの相談や治療が受けられます。
日本口腔インプラント学会のホームページから専門医のリストを見ることができます。http://www.shika-implant.org/meibo/meibo00.html#i02x04
ちなみに当院は、理事長の安田治男先生が専門医の資格を持っています。
日本人が歯がなくなる原因の50%が歯周病、37%が虫歯です。虫歯も歯周病も細菌による感染症です。これらは、ガンなどの病気と違い、細菌を除去することで予防することが可能なのです。虫歯と歯周病を予防するだけで、歯がなくなる原因の約87%を減らすことができるということです。
日本人の歯の喪失原因
では、どのようにしてこれらを予防していけばよいのでしょうか、
その方法とは、きちんとした歯磨きを毎日続けるという単純なことなのです。
ほとんどの方は、歯科医院で教わったことが無ければ、きちんとしたお口の中の知識(歯周病や虫歯について)や、歯磨きの方法を知っている方はいません。
しっかりとした知識を持って、しっかりとした方法で毎日歯磨きをすれば、虫歯と歯周病は予防できます。
歯磨きは、歯のあるうちは、一生行わなければならないものです、さらに1度きちんとした知識を覚えてしまえばその後、歯の悩みに悩まされることがなくなるという最高の治療です。
ぜひ1度歯磨きの知識を勉強しに来てください。
インプラントができてから歯科の治療が劇的に変化しました。
今までは、歯が1本無くなると、ブリッジか入れ歯になっていました。ブリッジとは歯を削り歯のない部分を補う治療です。
ブリッジも入れ歯も周りの歯に負担を求めるため、周りの歯が負担過重になり、徐々にだめになってしまいます。
ブリッジ(隣の歯を削ってかぶせる) 部分入れ歯
どちらも周りの歯に負担をかけてしまう
この図のように歯が無くなってしまいます
しかしインプラントは、周りの歯に負担をかけずに歯を入れることができるため、上の図のような流れを止めることができるのです。
インプラントは周りの歯に負担をかけない。
このようにインプラントは、ほかの歯を守る意味でも大変良い治療なのです。
歯周病という言葉を1度は聞いたことがあるのではないでしょうか?
では歯周病とは何でしょう。
口の中は、たくさんの細菌が常在しています。その中に、虫歯の菌と歯周病の菌もいます。
簡単に言うと、虫歯菌によって歯が溶けてしまうのが虫歯です。
歯周病の菌によって歯を支えている骨が解けたり、歯ぐきが腫れたりするのが歯周病です。

歯周病
歯周病は、症状がないまま進行します。重度歯周病になると治療が難しくなることも多いため。
初期に発見し治療することが重要になります。
・歯ぐきが腫れている
・歯がぐらぐらする
・口臭が気になる
・歯ぐきから出血がある
・口の中がねばねばする
・歯ぐきから膿がでる
・歯が動いたような気がする
・歯がのびたように感じつ
・歯ぐきが上がってきた
などの症状がある方は、ご相談ください。
歯のなくなったところに人工歯根をいれて歯を作っていくインプラントという治療は、現在の歯科治療においてすっかり定着したものになっています。インプラント治療を受けた患者さんは、全世界で数百万人以上といわれています。インプラント治療の魅力の1つとして、しっかり物を噛めるようになるということが上げられます。
健康な歯の場合大人の噛む力は、約70キロぐらいと言われています。しかし入れ歯になると噛む力は健康な歯の30%ほどになってしまいます。
前にも書いたように、入れ歯は、主に歯ぐきで支えるものなので強い力では、噛めないのです。
しかし、インプラントは、自分の歯のようにしっかり噛むことができるのです。インプラントの寿命は、健康な自分の歯と同じくらいだと考えてください、しっかり歯磨きをすれば、長期的に安定した状態を保つことができます。
インプラントは、なくなってしまった自分の歯を回復させることができ、しっかりとした力で、なんでも噛むことができます。
「入れ歯がガタガタする」とか、「.痛くてものが噛めない」という患者さんがよく来院されます。
ではなぜ入れ歯が安定しないのでしょう?なぜ痛くなるのでしょうか?
人はもともと、歯で物を噛む生き物です。しかし入れ歯は、歯ぐきの上に乗っており、歯ぐきが、噛む力を支える構造になっています。ここに無理があるため痛みが出るのです。

入れ歯でも、部分入れ歯のように自分の歯が多く残っていたり、骨がしっかりある患者さんであれば安定した入れ歯が入り、食事もしっかり食べることが可能ですが、あごの骨の状態は、人それぞれ違うため、あごの骨がやせてしまっている患者さんは何度入れ歯を作りなおしても安定したものができないことがあるのです。
しかしインプラント(詳しくはインプラントのページを参照してください)を用いて骨に土台を作ってあげれば、どんなあごの状態の患者さんでもしっかりとした入れ歯を作ることができなんでも食べることができるようになるのです。さらに上の入れ歯も上あごをくりぬくことができ味覚も回復しやしゃべりやすくなります。
このようにインプラントと入れ歯を組み合わせることは、とても有効な治療法なのです。
歯が無かったり、入れ歯があっていないとよく噛むことができません、噛むことは身体にとても大切なことです。よく噛むことで、唾液が多く分泌され消化がよくなります。唾液には細菌や発がん物質を抑える成分も含まれています。それに良く噛むと脳が活性化され認知ショウや寝たきりを防げるというデータがたくさん報告されています。
さらに口元は、人の顔のイメージにおいてかなり強い印象を与えます。歯がぬけていたり、虫歯で黒くなっていると、それだけで、悪いイメージを与えてしまいます。
笑った顔も、きれいな歯だと気持ちがいいものです。
よく噛める歯、きれいな歯で、よく噛み、よく会話し、よく笑うことが健康な生活にとっては重要なことだと思います。
静脈鎮静法という言葉は、歯の治療において聞きなれない言葉だと思います。
静脈鎮静とは、「歯の治療がとても怖い」とか「治療を受けていると"おぇっ"となって気持ちが悪い」とか「インプラント治療はやりたいけど手術が怖い」などといったような患者さんに、行う方法で、簡単にいうとほぼ眠ってしまっているうちに治療が終わってしまうため、全く治療中の苦痛がないといった方法です。
安全性も高く、治療が終われば、すぐに目が覚めるため、治療後はすぐに帰ることが可能です。
都内の大学病院でも行われている方法で、当医院でも、静脈鎮静を行った患者さんの評判はとても良いです。
詳しくは、ホームページをご覧ください。
人間の身体(口の中)は3次元(立体的)なものですが、今までのレントゲンの画像は、2次元(平面的)にしか、撮影できませんでした。
当医院でも導入しているCT撮影装置は、3次元のレントゲンなので、あごの骨の正確な形状や神経の走行、歯の根の形態、など正確に診断することができます。
当院ではインプラント治療、を行う際、CTで必ず治療部位の状態を確認するようにしています。一見通常の2次元レントゲンで問題なさそうに思えてもCTで確認すると、血管や神経が思わぬところを通っていることがあります。さらに「インプラント治療をする際はCTを撮影するように」との、日本口腔インプラント学会からの通達もあります。
もちろんCTを撮影しすぎることはよくありませんが、撮影も30秒程度で部分撮影が可能であり診断能力も素晴らしいため撮影しないでインプラントを行うことのリスクを考えると、当院では、患者さんの安全を考え必ず撮影することにしています。
インプラントは素晴らしい治療ですが、CTなどの診断技術が進み、さらに安全に行えるようになりますます患者さんにとって身近な治療になったと思います。
インプラント治療は、写真のように全体的に歯がない患者さんが、入れ歯を使わず自分の歯のように食事ができる素晴らしい治療です。(本院にて)
歯の全くない患者さんにインプラントを埋入 その後歯を装着
しかし下の写真のように1本歯がなくなった時にもとてもいい治療なのです。
治療前 治療後
丸の歯は、根っこが折れていて痛みが出ていました。このような場合抜歯(歯を抜くこと)になるのですが、その後歯がなくなったところは、以前では、両隣のきれいな歯を削る「ブリッジ」と言う治療を行っていたのですが、現在インプラント治療が出てからは隣の歯を削ることなく歯を入れることが可能になりました。
歯は削ってしまうと2度と元には戻りません、歯のないところを補うために隣の歯を削ってしまうのは大変もったいないことなのです。
当院では、このように1本歯がなくなった時こそインプラント治療をお勧めしています。